Pay My Bill (501) 525-4491
icon
50+ Years of Unforgettable Smiles

Orthodontics

dr. hall smiling with patient

You Deserve a Smile You Love

Dr. Hall and our team are passionate about creating beautiful, straight smiles all around Hot Springs, and we’ve done exactly that since 1967.

You’ll enjoy a custom treatment plan for your smile to give you the best results in the quickest time.

Meet Your Friendly

Orthodontists

Meet Dr. Hall

Since he was young, Dr. Hall has been intrigued by the way orthodontics can transform lives.

Nothing pleases him more than watching your child’s face after removing their braces and they see their beautiful new smile!

Learn More
Dr. Hall headshot
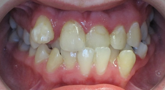
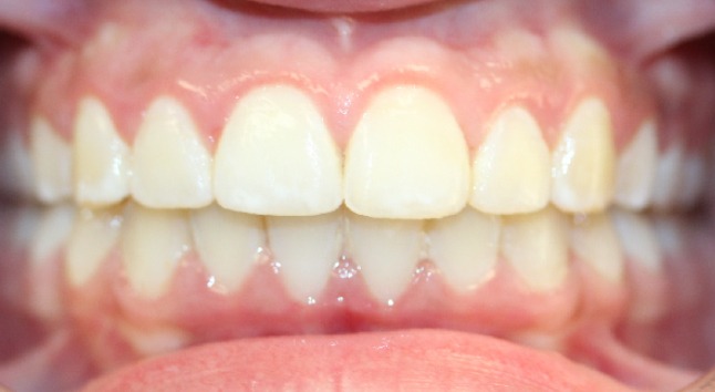
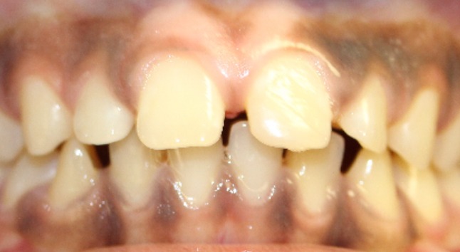
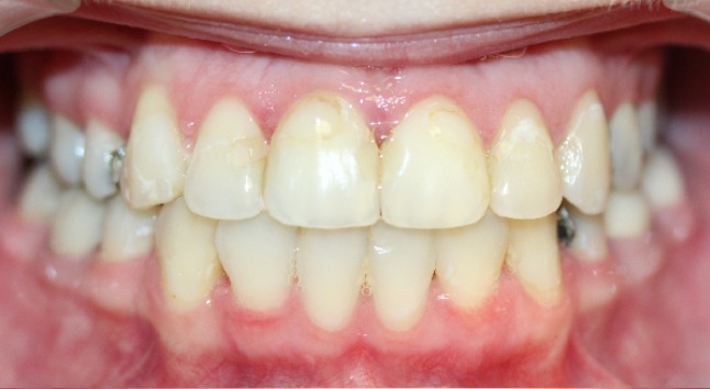
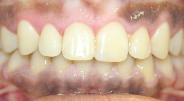
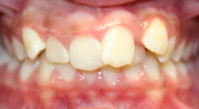
Real Smiles Transformations

Before & Afters

Your 5-Star Hot Springs, Arkansas Orthodontists

google logo
facebook logo
yelp logo
Patient

Testimonials

young teen smiling during visit
Meet

Mark

"Dr. Hall has shown me nothing but love. He's the nicest guy you can think of."

young teen smiling during visit
Meet

Mady

"I've gained so much confidence through this smile and through Dr. Hall."

young teen smiling during visit
Meet

Amanda

"They are wonderful. They're very knowledgeable and skilled."